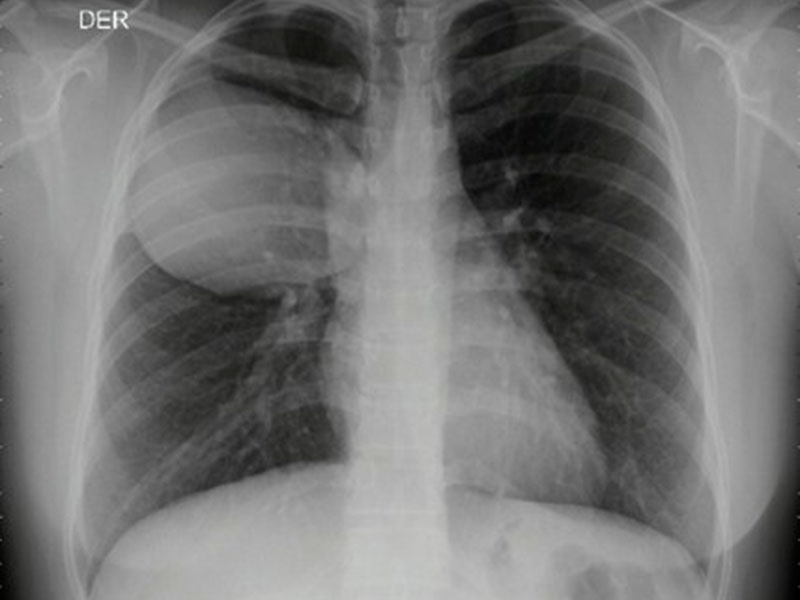
Es una enfermedad parasitaria humana causada por el estado quístico del parásito Echinococcus granulosas, el cual infecta el intestino de los perros, su huésped definitivo. El humano sirve como huésped incidental por ingestión de huevos en vegetales o agua contaminada con las heces del perro.
Quiste Hidatídico

Quiste Hidatídico
................
………
Dr. José Manuel Palacios León
Cirujano de Tórax y Cardiovascular
Cirujano de Via aérea y Trasplante Pulmonar
CMP 38836 RNE 20519 RNE 22133
Clínica San Felipe Jesús María

