¿Qué es la Tráquea?

null

Es un conducto tubular localizado en la garganta por donde pasa el aire hacia los pulmones lo cual es indispensables para la ventilación y la vida.

¿Qué es la estenosis traqueal?
Es la disminución de la luz de la tráquea que impide el paso del aire a los pulmones en diferente grado y puede comprometer la vida del paciente.

¿Cuál es su causa?

null

La causa más frecuente es la originada por la intubación prolongada que produce una inflamación en la luz de la tráquea y que dependiendo del grado de daño se produce la cicatrización y como consecuencia la disminución de la luz de la tráquea (estenosis)

Causas benignas (en general todo proceso inflamatorio que afecte la tráquea en diferente grado puede llevar a una estenosis traqueal).

– Intubación prolongada.
– Post infecciosas (tuberculosis, infecciones micóticas, procesos autoinmunes)
– Idiopáticas (sin causa identificada).
– Tumores benignos de tráquea.
– Post radioterapia.
– Post traqueostomía.
– Por compresión externa de estructuras vasculares.

Causas malignas:
– Tumores de tráquea primarios.
– Tumores de tráquea secundarios
– Por compresión externa de estructuras vasculares.

¿Como se diagnostica?
Generalmente se basa en la sospecha en una persona que haya tenido alguno de los factores de riesgo arriba mencionados y ello sumado a los siguientes síntomas.

– Dificultad para respirar durante el esfuerzo y a veces en reposo.
– Estridor (“silbido” al inspirar profundamente).
– Infecciones respiratorias frecuentes
– Dificultad para la expulsión de las secreciones (sensación de flemas “atascadas” en la vía aérea).
– Tos persistente.

¿Qué exámenes o pruebas necesita para si diagnóstico?

null

-Una historia clínica completa y exhaustiva.
-Una broncofibroscopía (es un examen donde se introduce un tubito delgado por la nariz o por la boca con analgesia local, este tubo tiene una cámara en su punta), que sirve para evaluar toda la vía aérea, glotis, cuerdas vocales, tráquea y valorar las características y severidad de la estenosis traqueal.
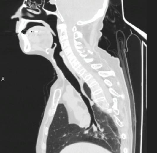
-Tomografía cervicotorácica con reconstrucción del árbol traqueobronquial, importante para el planeamiento del tratamiento.

¿Quién debe de tratarlo?
Debe de ser tratado por un médico con experiencia amplia en el manejo de estenosis traqueal y que conozca y maneje todas las opciones terapéuticas que existen.

¿Qué modalidades de tratamiento existen?
Existen múltiples modalidades terapéuticas que incluyen.

– Cirugía de reconstrucción de vía aérea (en la actualidad la mejor opción y con mejores resultados en estenosis traqueal benigna).
– Láser en vía aérea.
– Stent siliconados en vía aérea.
– Stent metálicos en vía.
– Dilatación de la vía aérea.

¿Cuál es el mejor tratamiento para mi caso?
La importancia en acudir a un especialista con experiencia en el manejo de estos casos hará que el resultado sea óptimo, el uso de una técnica u otra depende del tipo, características compromiso y severidad que es definido por el cirujano.

Nuestra experiencia
Contamos con una amplia experiencia tratando esta patología, desde el 2009 hemos tratado más de 200 casos (operados, con láser, con stent metálicos, siliconados, dilataciones) con resultados muy buenos.

Dr. José Manuel Palacios León
Cirujano de Tórax y Cardiovascular
Cirujano de Via aérea y Trasplante Pulmonar
CMP 38836 RNE 20519 RNE 22133
Clínica San Felipe Jesús María

Agendemos una Cita

Comuníquese con nosotros con confianza.

Menú