Es una afección a los pulmones en la cual ocurre una ruptura de la superficie del pulmón, causando presencia de aire en el espacio pleural, y que ocurre de forma espontánea.
Neumotórax

¿Qué es el neumotórax espontaneo?
¿Cómo se manifiesta?
Se presenta en forma brusca no asociado a ninguna actividad, y el paciente presenta disnea (dificultad para respirar) progresiva y dolor torácico importante.
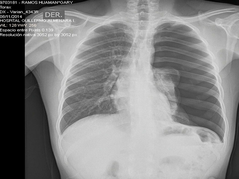
¿Cómo se diagnóstica?
Luego de una historia clínica y examen clínico minucioso y apoyado en una radiografía de tórax se llega al diagnóstico.
¿Qué lo causa, porque ocurre?
Ocurre por la ruptura de pequeños “globos” “blebs” “bulas” en la superficie del pulmón, estos generalmente son congénitos.
¿Qué características tienen los pacientes?
La mayoría son jóvenes delgados altos.
¿Cuál es su tratamiento?
Inicialmente se trata el neumotórax dependiendo de la severidad y sintomatología con un drenaje del tórax mediante un sistema de válvula de Heimlich o un frasco de drenaje con sello de agua.
¿Todos los neumotórax espontáneos se operan?
No necesariamente todos, luego de evaluado por un cirujano de tórax, en algunos casos puede ser suficiente con el drenaje con válvula de Heimlich o con un sistema de sello de agua, pero en ciertos casos si debe de ser operado:
- Neumotórax severo (a tensión)
- 2do episodio de neumotórax espontaneo.
- Fuga aérea persistente (burbujeo persistente >72horas)
- Neumotórax más hemotórax (sangre en el espacio pleural)
- Que el paciente se dedique a buceo o sea piloto de aviones.
- Presencia de bullas. (dilataciones “como globitos” en la superficie del pulmón)
¿Cómo se opera el neumotórax?
Existen dos formas la convencional (minitoracotomia) o por videotorcoscopia minimamente invasiva, consiste en la resección de las bullas es una cirugía rápida segura y con resultados excelentes.
Dr. José Manuel Palacios León
Cirujano de Tórax y Cardiovascular
Cirujano de Via aérea y Trasplante Pulmonar
CMP 38836 RNE 20519 RNE 22133
Clínica San Felipe Jesús María

